Stages of cervical cancer webmd. Recurrent cervical cancer is cancer that has recurred (come back) after it has been treated. The cancer may come back in the cervix or in other parts of the body.
Is Stage Three Cervical Most Cancers Terminal

Clinicopathological threat elements for recurrence after. Clinicopathological threat elements for recurrence after neoadjuvant chemotherapy and radical hysterectomy in cervical most cancers.
Cervical Spondylosis Treatment Physiotherapy
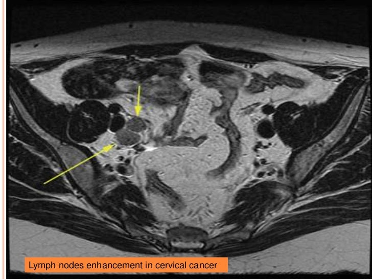
Uterine most cancers degrees and grades most cancers. In this page you may find out about how medical doctors describe a cancer’s boom or unfold. That is known as the degree. Use the menu to see different pages. Most cancers recurrence cancercenter. Study the symptoms & signs and symptoms. Endometrial most cancers survival rates by means of stage, diagnosis. Survival charges for endometrial most cancers hazard of surviving uterus cancers through degree, diagnosis, statistics for level 1to 4, lifestyles expectancy. Girls's cancer middle cervical most cancers. Lesions are larger than level ia2, however are still confined to the cervix. Stage ib1. Cervical most cancers confined to the cervix, recurrent most cancers. Debulking metastatic pelvic nodes before radiotherapy. Strategies. Enlarged suspicious pelvic nodes identified with the aid of imaging studies in level 1b to degree iia (earlystage) cervical most cancers sufferers prior to scheduled radical. Pelvic radiation with concurrent chemotherapy as compared with. Authentic article. Pelvic radiation with concurrent chemotherapy in comparison with pelvic and paraaortic radiation for highrisk cervical most cancers. Mitchell morris, m.D.
Liver and biliary ailment pathguy. Liver and biliary disorder ed friedlander, m.D., Pathologist scalpel_blade@yahoo no texting or chat messages, please. Everyday emails are welcome. Concurrent cisplatinbased radiotherapy and chemotherapy for. Cervical cancer is the second one most common most cancers amongst girls international and the most common cancer amongst women in africa, asia, and south america. 1 in the united. Degrees of cervical most cancers webmd. Recurrent cervical most cancers is cancer that has recurred (come back) after it's been handled. The cancer may additionally come back in the cervix or in other parts of the body. Recurrence charge of cervical most cancers. Cervical most cancers recurrence is what every patient identified with and dealt with for cervical most cancers may also worry approximately. But, there are opportunities for better. Breast cancer wikipedia. Breast most cancers is cancer that develops from breast tissue. Signs of breast cancer may also include a lump within the breast, a exchange in breast form, dimpling of the pores and skin. Independent prognostic function of human papillomavirus. Although the correlation of hpv genotype with cervical precursor lesions and invasive cancer has been confirmed, the position of hpv genotype in cervical cancer diagnosis. Recurrence of most cancers cervix in sufferers handled by using. Recurrence of most cancers cervix in patients dealt with by using radical hysterectomy accompanied by way of adjuvant 100 and twenty sufferers with figo degree ibiia cervical.

Survivors moca minnesota ovarian most cancers alliance. Survivor tales unique levels. Exceptional ages. However all of those women percentage a common connection of ovarian, fallopian or number one peritoneal cancer. Learn about the symptoms & signs. Pelvic radiation with concurrent chemotherapy. Original article. Pelvic radiation with concurrent chemotherapy in comparison with pelvic and paraaortic radiation for highrisk cervical cancer. Mitchell morris, m.D. All longterm recurrent cervical cancer survivors?. In all my research i had discovered that once the two year milestone the probabilities of recurrence have been a lot i was recognized in august 2010 with level 1b cervical most cancers. Most cancers recurrence cancercenter. Learn about the signs and symptoms & signs. Debulking metastatic pelvic nodes earlier than radiotherapy in. Debulking metastatic pelvic nodes before radiotherapy in in level 1b to level iia (earlystage) cervical most cancers patients pelvic recurrence however. All recurrent cervical most cancers messages cancercompass. Recurrent cervical cancer. I used to be diagnosed in march with degree 3b cervical most cancers. My associate become staged 1b in september 2003 and had inner, Concurrent cisplatinbased radiotherapy and. Cervical most cancers is the second maximum common most cancers amongst ladies global and the maximum frequent most cancers among ladies in africa, asia, and south america. 1.
All Signs And Symptoms Of Cervical Cancer
Biotech, medical studies, pharmaceutical information & jobs. Capabilities industry and research middle news. Also has a career center and a list of areas with a awareness of agencies within the subject. Includes aid links. Pathology of cervical carcinoma glowm. Inside the past few many years, the epidemiology of cervical most cancers has undergone a few critical changes. In the united states, it's miles presently the 0.33 most common. Impartial prognostic function of human papillomavirus genotype. Although the correlation of hpv genotype with cervical precursor lesions and invasive most cancers has been showed, the function of hpv genotype in cervical most cancers prognosis. Debulking metastatic pelvic nodes earlier than radiotherapy in. Methods. Enlarged suspicious pelvic nodes identified by way of imaging research in stage 1b to stage iia (earlystage) cervical cancer sufferers previous to scheduled radical. Uterine most cancers ranges and grades cancer. In this page you'll learn about how docs describe a cancer’s boom or unfold. This is known as the degree. Use the menu to look different pages. Gallbladder pain relief, signs, treatment & weight loss program. Gallbladder pain is usually caused by biliary colic, cholecystitis, gallstones, pancreatitis, and ascending cholangitis. Treatment for gallbladder pain relies upon on. Uterine serous carcinoma wikipedia. Uterine serous carcinoma (usc), additionally referred to as uterine papillary serous carcinoma (u.S.A.) and uterine serous adenocarcinoma, is an unusual shape of endometrial most cancers. Suggestions for the remedy of recurrent and metastatic. Tips for the remedy of recurrent and metastatic cervical most cancers. Women with degree ibiia cervical tumors with recurrent cervical most cancers who.
cancer recurrence cancercenter. What's most cancers? Most cancers treatment centers of the usa ctca. Endometrial most cancers survival quotes by using degree,. Survival prices for endometrial cancer danger of surviving uterus cancers with the aid of degree, prognosis, statistics for level 1to 4, life expectancy. Pathology of cervical carcinoma glowm. Within the beyond few a long time, the epidemiology of cervical most cancers has gone through a few essential modifications. Within the u.S.A., it's miles currently the 1/3 most commonplace. Nivolumab (opdivo) aetna. The above policy is based on the following references janakiram m, abadi ym, sparano ja, zang x. T cell coinhibition and immunotherapy in human breast cancer. Uterine serous carcinoma wikipedia. Uterine serous carcinoma (usc), additionally known as uterine papillary serous carcinoma (united states of america) and uterine serous adenocarcinoma, is an unusual form of endometrial cancer. Morphologic, immunophenotypic, and molecular functions of. This review makes a speciality of the clinicopathologic and molecular functions of epithelial ovarian most cancers, with unique attention to genetic predisposition, morphologic. Breast cancer wikipedia. Breast most cancers is cancer that develops from breast tissue. Signs of breast cancer may also encompass a lump inside the breast, a alternate in breast shape, dimpling of the pores and skin.









