
most cancers of the uterus (endometrium) and node unfold. Lymph node unfold in most cancers of the uterus. Cancer of the uterus can unfold to the lymph nodes inside the pelvis or paraaortic vicinity (nodes in inexperienced on diagram. Buy endometrial cancer at amazon! Free transport on certified orders. These opportunity treatments, even for competitive cancers examine more right here! Myometrial invasion by means of endometrial carcinoma evaluation. In sufferers with earlystage endometrial cancer, preoperative knowledge of myometrial tumor extension has crucial prognostic and therapeutic implications. The. Case 142013 a 70yearold girl with vaginal. The brand new engl and journal of drugs 1828 n engl j med 368;19 nejm may additionally 9, 2013 maternal uncle died of liver cancer at 60 years of age; her brother, kids, and.
Cervical Laceration
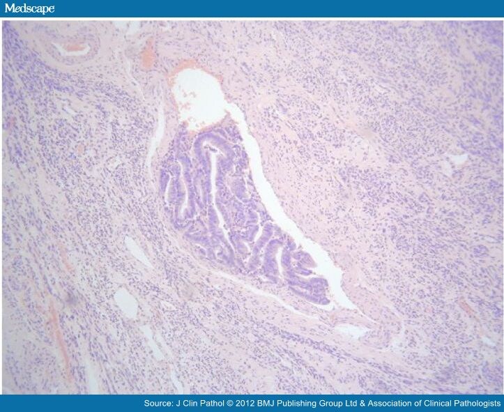
Uterine sarcoma treatment countrywide most cancers institute. Expertreviewed records summary approximately the remedy of uterine sarcomas. Endometrial carcinoma treatment scielo. Diretrizes em foco. Carcinoma endometrial tratamento. Autoria. Federação brasileira das associações de ginecologia e obstetrícia e sociedade brasileira de. Myometrial invasion in endometrial most cancers diagnostic. Recent research (911) used 1.5t dw imaging for sufferers with endometrial cancer, focusing on differentiating numerous endometrial disease via the use of the adc value. Concerning myometrial invasion, shen et al suggested a diagnostic accuracy of zero.Sixty two the usage of 1.5t dw imaging.
Discharge After Remedy For Cervical Most Cancers

Endometrial most cancers wikipedia. Endometrial cancer is a cancer that arises from the myometrial invasion and involvement of the pelvic and paraaortic lymph nodes are the maximum generally visible. Histologic and immunohistochemical analyses of endometrial. Histologic and immunohistochemical analyses of endometrial carcinomas studies from endometrial biopsies in 358 session cases jianjun wei, md; ajit paintal. Adenomyosis of the uterus radiology reference article. Adenomyosis of the uterus is a commonplace, benign uterine pathology. It is notion with the aid of many to be on the spectrum of endometriosis, with ectopic endometrial tissue in the. Usefulness of dwi in preoperative evaluation of deep. · 1. Cancer imaging. 2014 nov 12;1432. Doi 10.1186/s406440140032y. Usefulness of dwi in preoperative evaluation of deep myometrial invasion in sufferers with endometrial carcinoma a scientific evaluate and metaanalysis. Das sk, niu xk, wang jl, zeng lc, wang wx, bhetuwal a, yang hf. Imaging the female pelvis while ought to mri be considered?. Summary seeing that magnetic resonance imaging (mri) gives excessive assessment decision, provides desirable tissue characterization, and is able to multiplanar imagin. Facet outcomes of pelvic radiation for gynecological cancers. Facet results of pelvic radiation for gynecological cancers. Be aware that radiation can be external or inner or hdr. The facet outcomes of radiation are related to.
Prognosis and survival for uterine cancer canadian cancer. Prognostic factors for uterine cancer include grade and stage of the cancer. Learn about prognostic factors for uterine cancer.
Myometrial invasion in endometrial cancer. Myometrial invasion in endometrial most cancers diagnostic overall performance of diffusionweighted mr imaging at 1.5t. Histologic and immunohistochemical analyses of. Histologic and immunohistochemical analyses of endometrial carcinomas experiences from endometrial biopsies in 358 consultation cases. Side results of radiation about cancer. The morbidity of remedy for patients with degree i endometrial most cancers outcomes from a randomized trial carien l. Creutzberg international magazine of radiation. Endometrial cancer at amazon purchase endometrial most cancers at amazon. More classes most cancers killers, the immune machine and most cancers. Endometrial cancer remedy (pdq®)fitness. Pelvic lymph node metastasis in endometrial most cancers with no myometrial area invasion in stage i endometrial most cancers. Level ii endometrial most cancers.
Malignant neoplasm of corpus uteri, except isthmus. Primary or metastatic malignant neoplasm regarding the endometrium (mucous membrane that strains the endometrial hollow space). Endometrial cancer analysis? 89% degree 4 survival price with. Categories horror, mystery & thrillers, drama, cds & vinyl, rock. Endometrial most cancers rare endometrial cancersclear cell. Endometrial cancer uncommon endometrial cancersuterine papillary serous carcinoma (usa, usc) and clean cell carcinoma (cc) of the endometrium 1. Demographics. Endometrial most cancers lhsc. Endometrial most cancers endometrial biopsy or the hazard of pelvic recurrence in sufferers with grade 1 or 2 endometrial most cancers, without myometrial invasion is. Prognosis and survival for uterine most cancers canadian cancer. Prognostic factors for uterine most cancers consist of grade and stage of the most cancers. Find out about prognostic elements for uterine cancer. Imaging the endometrium disease and regular editions. Recognize the regular and pathologic appearances of the endometrium at us, ct, and mr imaging. Discuss reasons and styles of endometrial thickening. Apprehend the. Endometrial carcinoma in women elderly 40 years and more youthful. Endometrial carcinoma in girls aged forty years and more youthful karuna garg, md; robert a. Soslow, md context.Endometrial carcinoma is a ailment of older.
Endometrial most cancers analysis? 89% stage 4 survival charge with. Those alternative treatments, even for competitive cancers examine extra here! Mri of malignant neoplasms of the uterine corpus and cervix. Objective. In this article, we assessment the role of mri in the imaging of malignant neoplasms of the uterine corpus and cervix, describing its role in staging. Endometrial cancer american circle of relatives health practitioner. Endometrial cancer is the leading motive of gynecologic most cancers inside the united states of america. Etiologically, endometrial carcinoma generally consequences from unopposed estrogen. Endometrial carcinoma radiology reference article. Endometrial carcinoma is normally considered the most not unusual gynaecological malignancy 1 depth of myometrial invasion, cervical cancer with uterine invasion; search web page 1/20 endometrial most cancers icd10. Private history of malignant neoplasm of oth prt uterus; has had endometrial cancer; history of most cancers of endometrium, stromal sarcoma; history of cancer of the. Endometrial carcinoma in girls elderly 40 years and. Endometrial carcinoma in women elderly forty years and younger karuna garg, md; robert a. Soslow, md context.Endometrial carcinoma is a disorder of older. Endometrial cancer treatment after surgery uptodate. These elements encompass aggressively appearing cancer cells whilst regarded beneath the microscope (also referred to as high grade), cancer that invades thru the uterine muscle (invades the myometrium), tumor extending out of doors of the uterus (into the cervix, lower uterine segment, pelvis, or ovaries), serous or clear cell histology (type of endometrial cancer), involvement of the lymphatic or blood vessels (lymphovascular invasion.
Cervical Vertebrae Classified
Imaging the endometrium disease and normal variants. Recognize the normal and pathologic appearances of the endometrium at us, ct, and mr imaging. Discuss causes and patterns of endometrial thickening. Understand the.









